病理实验
4589

病理切片

2019/1/17

服务简介

病理切片是将病变的动物组织或脏器先经过各种物理或化学品包埋处理后,使其固定硬化,再通过切片机切成薄片,粘附在载玻片上,进行各种染色,最后通过镜检观察组织及器官的病变情况。根据样本固定的方式不同,分为石蜡切片和冰冻切片两大类。常用的病理染色方法有HE染色、番红-固绿染色、masson染色、天狼猩红染色、油红O染色、吉姆萨染色等。


服务流程

1.确定样本类型,切片种类,切片方式、观察位置等

2.进行切片、染色、显微镜下观察并拍照

3.付清尾款,发送拍摄图片,及实验步骤,实验材料信息等


客户提供

1.客户提供多聚甲醛固定的组织样本或者其他新鲜样本

2.确定切片种类,切片方式、观察位置等


知恩提供

完整实验报告:包括实验方法、步骤、所用试剂、仪器、照片及相关分析数据等


质量保证

切片位置正确,染色清晰,多个位置及放大倍数拍摄图片


交货期

10-15个工作日完成,具体根据样本数量而定


实例展示

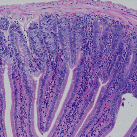
小鼠胃部与小肠病理切片HE染色

小鼠胃部病理切片染色(1) - 合肥知恩生物

小鼠胃部病理切片染色(1)


小鼠胃部病理切片染色(2) - 合肥知恩生物

小鼠胃部病理切片染色(2)


小鼠小肠病理切片染色(1) - 合肥知恩生物

小鼠小肠病理切片与染色(1)


小鼠小肠病理切片染色(2) - 合肥知恩生物

小鼠小肠病理切片与染色(2)

扫一扫