分子生物学实验
3099

原核表达

2018/9/7

服务简介

原核表达一般指产生在原核生物内的基因表达。在生物工程中,我们把通过基因克隆技术,将外源目的基因,通过构建表达载体并导入表达菌株,使其在特定原核生物或细胞内表达称为原核表达。

一个完全的表达系统通常包括配套的表达载体和表达菌株。如果是特殊的引诱表达还包括引诱剂,如果是融会表达还包括纯化系统或Tag检测等。选择表达系统通常要根据实验目的来斟酌,比如表达量高低,目标蛋白的活性,表达产物的纯化方法等等。
为了取得高水平的基因表达产物,人们通过综合斟酌控制转录、翻译、蛋白质稳定性及向胞外分泌等诸多方面的因素,设计出了许多具有不同特点的表达载体,以满足表达不同性质、不同要求的目的基因的需要。
通常关心的表达载体质粒上的元件包括: 启动子、 多克隆位点、 终止密码、融会Tag(如果有的话)、 复制子、挑选标记或 报告基因等。

大肠杆菌表达系统是基因表达技术中发展最早,目前应用最广泛的经典表达系统。与其它表达系统相比,大肠杆菌表达系统具有遗传背景清楚,目的基因表达水平高,培养周期短,抗污染能力强等特点。在基因表达技术中占有重要的地位,是分子生物学研究和生物技术产业化发展进程中的重要工具。

原核表达相关教程:原核表达原理、步骤、载体构建、常见问题分析


服务流程

1.目标基因获取及表达质粒构建

2.小量表达及可溶性分析

3.目标蛋白大量表达及纯化

4.交付成品及报告


客户提供

基因信息及蛋白表达要求(纯度、总量、标签等)


知恩提供

服务流程中各阶段的成品,包括:目的基因;重组表达质粒;含重组质粒的表达菌株;纯化后的目标蛋白。完整的实验报告


质量保证

图片清晰、报告完整、交付合格的蛋白成品



交货期

协商


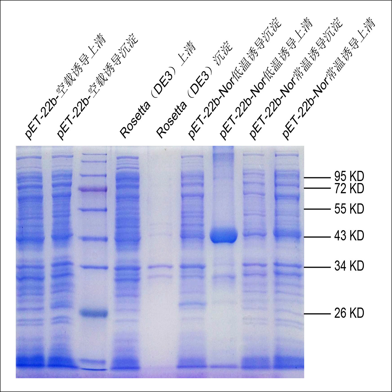
实例展示

原核表达 - 合肥知恩生物
扫一扫